Вход в систему

Сложный невус с дисплазией 3 степени

Общие клинические характеристики пациента
Возраст: 
34
Пол: 
Мужской
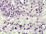
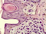
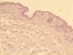
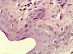
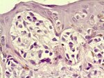
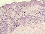
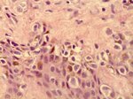
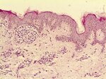
Гистология и фото препаратов
Результаты гистологического исследования
Гистопатологическое заключение: 
сложный пигментный невус с тяжелой дисплазией 3 степени.
Фото гистологических срезов: 
Borozdka40_1.jpg
Displaziia100_2.jpg
GriebieshokPighm400.jpg
Displaziia100.jpg
Displaziia400_1.jpg
Displaziia400_3.jpg
Displaziia400.jpg
Borozdka400.jpg
Griebieshok400.jpg
Клинический диагноз: 
акральный меланоцитарный невус кожи ладонной поверхности левой кисти.

Местоположение

ГГМУ; ГОКОД
Ланге,5
Беларусь

 пациент отмечает наличие пигментного образования на коже ладони в течение з-х лет. Субъективно не беспокоит. Семейный анамнез не отягощен. II фототип.

Со слов пациента, за последние 2 года удалил несколько пигментных невусов на коже туловища, которые оказались с различной степенью дисплазии (от 1 до 3).

При  дерматоскопическом осмотре, несмотря на мелкий размер образования, настораживает пигментация гребешка. Пациент был направлен к онкологам с д-м: диспластический невус левой ладони? Мln?

5
Средний рейтинг: 5 (20 votes)